Cytopathology (Gynae)
Cytopathology for Beginner (NILM)
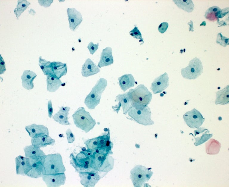
πΈ Exploring Normal Gynae Cytology: NILM Module
Our NILM Cytology (Gynae) Module is designed to unravel the secrets of "Negative for Intraepithelial Lesion or Malignancy" in routine gynecological cytology.
π¬ What You'll Learn:
Normal Cell Patterns
Confident Interpretation
Quality Assurance
π Highlights:
Practical Learning: Engage in hands-on exercises and case studies for a deeper understanding.
Real-World Application: Connect theoretical knowledge to real-world scenarios for practical clinical application.
Interactive Sessions: Join interactive sessions with experienced instructors for an engaging learning experience powered by Digital Pathology.
π Who Should Join: Perfect for students with related fields, cytotechnologists, pathologists, and healthcare professionals aiming to enhance their expertise in routine gynecological cytology.


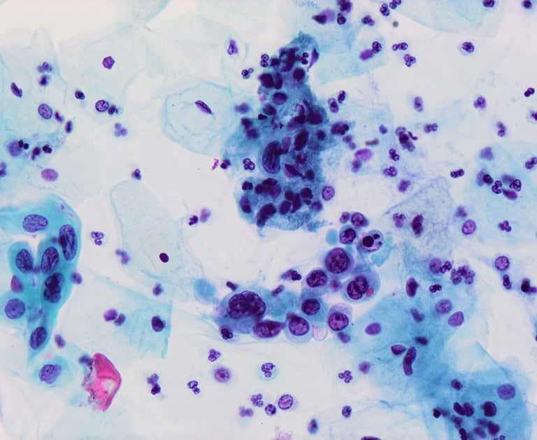
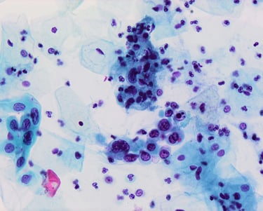
Advanced Gynecological Cytology
πΈ The Advanced Gynecological Cytology module is designed for professionals who have completed foundational cytology training and wish to deepen their expertise in the interpretation of gynecological specimens.
This module goes beyond routine cytological findings and explores the complexities of abnormal cellular patterns encountered in various gynecological conditions.
π¬ What You'll Learn:
Comprehensive Study of Abnormal Findings
Artificial Intelligence Application in Modern Cytopathology
In-Depth Exploration of Rare Cases
Advanced Diagnostic Techniques
Clinical Correlation and Case Management
Quality Assurance in Advanced Cytology
Research Opportunities:
Delivery Format:
Interactive Sessions: Engage in interactive sessions with experienced instructors, fostering a dynamic learning environment powered by Digital Pathology.
Case Studies: Analyze real-world case studies to apply theoretical knowledge to practical scenarios.
Hands-On Practice: Participate in hands-on exercises, focusing on the identification and interpretation of abnormal cellular patterns.
Who Should Enroll:
Professionals with a background in cytology, pathology, or gynecology who seek to enhance their skills in the nuanced interpretation of abnormal gynecological specimens.


